青木歯科 歯科(しか)矯正(きょうせい)歯科(しか)小児(しょうに)歯科(しか)口腔(こうくう)外科(げか)

高知市西秦(にしじん)泉寺(ぜんじ)407-13  電話088-824-7771

休診日:日曜、木曜、祝祭日(祝祭日のある週の木曜は診療致します)

診療時間午前9時〜1230分 午後2時〜630(土曜日5時まで)

Web予約 https://www.webreservation.mic.jp/Reservation/SelectReason/M0000255982 または  から

こちらからの予約は仮予約です。当院から電話させていただき予約確定になります

 

3台のマイクロスコープ(歯科用顕微鏡)を使用し、精密な治療を心がけています。

根管治療には、ラバーダム、ニッケルチタンロータリーファイル、歯科用顕微鏡を使用しています。

●根管治療の成功率が上がると評判の高周波通電装置を導入しました。NEW

5人の歯科衛生士による予防処置・治療後のメインテナンスで歯を守ります。

歯科技工士が在籍しています。当日中の義歯の修理ができます。

●最新の、痛くない、目立たない、短期間で終わるマウスピース矯正(インビザライン)。比較的軽度の症例に適しています 

スマホでマイナ保険証を使うことができます

電子処方箋発行できます。電子処方箋対応薬局はここをクリック

当院からのご案内 施設基準など院内掲示の必要な事項をWEB掲載しました。

訪問診療による口腔ケア致します。インフルエンザなどの流行期を除きます。

VISAMasterJCBのクレジットカードご利用ください。(自費・保険一部負担金・グッズ代金)

日本歯科医師会 全国の歯科検索

 

屋内, 部屋, テーブル, 座る が含まれている画像

自動的に生成された説明

ブルー, 屋内, 座る, ボウル が含まれている画像

 

木製テーブルの上にあるモニターとゲーム機

AI 生成コンテンツは誤りを含む可能性があります。

デジタルレントゲン

少ない放射線被ばくで三次元画像が得られるCBCTは大臼歯の根管治療、親知らずの安全な抜歯に欠かせません

歯科用顕微鏡

マイクロスコープが最も効果を発揮するのは根管治療です。根の中の感染物質を見ながら除去することができるため治療の精度がたかくなります

樋状(Cの字)根管の治療中

当院のマイクロスコープを使った根管治療は保険診療です

(歯内療法に関する施設基準の届け出をしています)

iTero Luminaスキャナー(光学印象)

自費のインビザライン矯正・インプラント上部構造・保険のCAD/CAMインレーなどに使用します。

2025/6月 iTero Lumina Scanarにバージョンアップしました。従来よりも短時間で精密なスキャンが可能になりました。

マイナンバーカードリーダー

カードを入れると顔認証または4桁の暗証番号で受給資格が確認されます。

顔認証ができなかったときは目視で確認できるようになっています。

スマホをマイナ保険証としてご利用できます

 

 

 家庭療法で歯をまもりましょう。できれば一日3回。忙しい方は夜寝る前(夕食後)の徹底的な清掃がおすすめです。

舌ケアシリーズ | 口臭科学から生まれたNONIO(ノニオ) | ライオン株式会社Back ButtonFilter Button

「デンタルフロス」の画像検索結果

フィリップス 口腔洗浄機器 に対する画像結果

C34098EF

まず舌を清掃しましょう。口臭の予防に絶大な効果!朝晩の舌掃除と舌の筋トレが誤嚥性肺炎の予防に効果があります。

食事前の清掃が腸内細菌叢を改善し免疫機構に良い影響があると言われています。

次にデンタルフロスをしましょう。むし歯・歯周病は多くの場合、歯と歯の間から始まります。

歯間ブラシが適していることもあります。(ブリッジが入っている場合や歯周病の進行している場合)

口腔洗浄器で歯と歯の間に残った食物残渣を洗い流しましょう。

それからブラッシング。

虫歯予防には世界的に効果の認められているイエテボリ法をお勧めしています。

ポイントはフッ素入り歯磨剤を使い、すすぎを最小限にすることです。

歯周病のある方にはこの歯磨剤がおすすめ。ウコン成分のクルクミンが極悪の歯周病菌のタンパク分解能を阻害するため歯周病予防に効果があります。フッ素も1450PPM入っており虫歯予防効果も備えています。

悪玉の口腔細菌の除去が全身疾患の予防につながります

「歯科医療の未来図と8020運動」天野敦雄先生のYouTubeよりNEW

 

むし歯、歯周病、歯の破折の予防

歯を破壊するプラークと歯ぎしり 

「デンタルフロス」の画像検索結果

むし歯を治したい方はここをクリック

食べ物 が含まれている画像

自動的に生成された説明

歯周病を治したい方はここをクリック NEW

図形, 多角形

自動的に生成された説明

根の治療が必要になった方はここをクリック NEW

歯並びを治したい方はここをクリック

NEW

親知らずが生えてきた方はここをクリック

歯を失ったところを治したい NEW

(インプラント)

歯を失ったところを治したい

(ブリッジ)

歯科 ブリッジ に対する画像結果

歯を失ったところを治したい

(部分義歯)

歯が全部なくなった

(総入れ歯)

 

歯を失ったところを治したい

(歯の移植)

説明: 説明: 説明: 説明: 説明: 説明: 説明: 説明: 説明: 説明: 説明: 説明: 説明: 説明: IMG_7095

顎が痛い、口が開きにくい

顎関節症/咀嚼筋腱・腱膜過形成症

 

 

 

歯科領域における痛み

new

上を向いて眠りましょう

保険治療の料金を知りたい

令和6年改訂

自費治療の料金を知りたい

全体に治したい

 

施設とスタッフ

壁, 室内, 電化製品, ミシン が含まれている画像

自動的に生成された説明

 

 

地図をクリックすると大きな地図に移動します

建物の間の道路

中程度の精度で自動的に生成された説明

道路を隔てた南側にも駐車場があります。

第27回都市美デザイン賞、第9回高知県木の文化賞を受賞しました。

 

 

●虫歯や歯周病の予防には家庭療法が何より大切です!しかし、歯ブラシだけでは60%程度しか清掃できません。

●デンタルフロスは、歯と歯の間の虫歯→歯の神経の炎症→根の先の骨にできた病巣(びょうそう)歯性(しせい)上顎(じょうがく)洞炎(どうえん)など、むし歯が原因の疾患を予防する清掃用具です。

●口腔内の細菌の数は1000億〜1兆個。 誤嚥(ごえん)(せい)肺炎(はいえん)細菌性(さいきんせい)心内(しんない)膜炎(まくえん)、糖尿病、心臓疾患などを引き起こす可能性があります。

●全身の健康を支える骨の健康が歯の健康に大切です。

歯の破折が増えています。予防にはナイトガードが効果的です

酸所蝕症 に対する画像結果

歯が溶ける?知っておきたい「食生活と歯の関係」|恵優会 歯科ブログ|医療法人 恵優会

酸性の食物(すっぱいもの)で歯が溶け、黄色っぽい象牙質が露出しています(酸蝕症)。プラーク、過剰な咬合力とともに歯を破壊する第三の原因が酸性の食物です。

プラークの着いた状態で飲食すると、開始後5分で歯が溶け始めるところまで酸性になる事を示しています。(ステファンカーブ)

甘いものの間食がむし歯を作ります。とくに寝る前にお菓子を食べて寝落ちするのは虫歯菌を大喜びさせます。

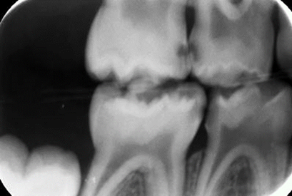
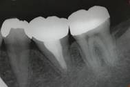
隣接面齲蝕の発見に有効な咬翼法レントゲン。エナメル質を越えると急速に進行します。痛いときはすでに細菌が神経まで達しています。2年に一度は咬翼法レントゲンで歯と歯の間の虫歯checkをしましょう。

歯周病菌は血管に入り全身の病気の原因になります。また、歯周病菌を食事と一緒に飲み込むことで腸内細菌叢に影響を与え、免疫力を落とすと言われています。

継続的な管理で歯周病の重症化を防ぎましょう。

 

 

説明: 説明: 説明: 説明: 説明: 説明: 説明: 説明: 説明: img003

アトリエМ(ビーズ作品集)

屋内, ケーキ, テーブル, 座る が含まれている画像

自動的に生成された説明

写真, ケーキ, テーブル, 帽子 が含まれている画像

自動的に生成された説明

屋内, ケーキ, テーブル, 男 が含まれている画像

自動的に生成された説明

 

歯科関連ページへのLink

経済学者による日本の歯科医療の問題点

酸蝕症

歯が溶ける!

根の治療

なぜ半数がトラブル?

イエテボリ法

むし歯の予防に効果的な歯磨き法

フッ素入り歯磨剤

むし歯から骨髄炎に

神経障害性疼痛

リリカ(プレガバリン)

歯科治療と金属アレルギー

非定型顔面痛 new

歯痛の原因は歯だけ?

知覚過敏

水や風がしみる、ブラシで痛い

ホワイトニング

歯の外傷(救急)

上顎洞炎治療

たしま耳鼻咽喉科

フッ化物入り歯磨剤

YouTube動画 徳島市歯科医師会

日本いたみ財団

YouTube動画で

歯の破折

咀嚼筋腱・腱膜過形成症

日誌 NEW

 

Since2006/09/23  最終更新日 2026/01/14