|
歯並びの矯正治療 高知市青木歯科TOP
明眸皓歯は美人と同義語。しかし、歯が白いだけでは美しいとはいえません。清潔な白い歯がきれいに並んでおり、唇などの軟組織と調和していてこそ美しいと考えます。歯科治療の目的の一つは明眸皓歯=美貌の実現です。また、総合的な治療に際して、歯の位置が不正では長持ちのする治療は困難です。そんな時にも矯正治療は大いに役立ちます。最近は乳歯からの歯列の育成が注目されています。
マウスピース矯正(インビザライン) 最新の、痛くない、目立たない、清掃しやすく短期間で終わるアライナー矯正
●適応症例は、前歯、小臼歯の叢生、正中離開、捻転、矯正後の後戻り症例などです。治療費は40~70万円です。抜歯が必要なほどの重症ケースは従来のワイヤー矯正になります。
●インビザライン矯正相談料(iTero
Lumina(光学印象装置)で歯並びの状態を取り、インビザラインに送信し治療計画を立てる)は2万円です。治療をされる場合は治療費に含まれます。
●1日22時間以上の装着が大切。1枚で0.25ミリずつ移動する設計です。装置を入れたときの違和感が無くなったら次のアライナーに交換
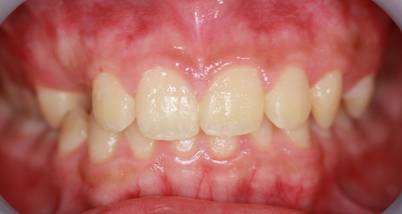
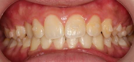
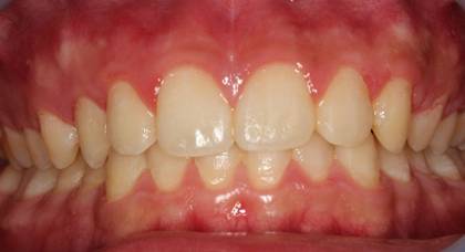
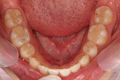
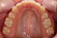
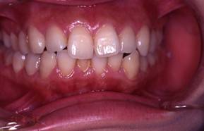
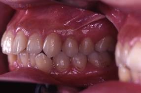
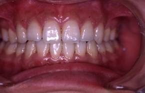
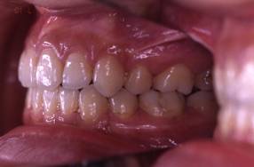
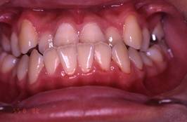
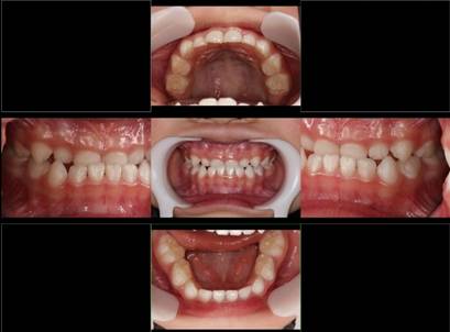
インビザGOによる矯正症例1 16歳男性
|

|

|

|

|
|
マウスピース矯正開始前。右上犬歯が内側にありました
|
前から見たところ
|
4か月後。犬歯が外側に出てきました
|
治療終了後10か月
|
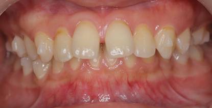
インビザラインによる矯正症例2 22歳女性
|

|

|

|
|
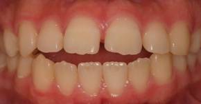
治療開始時。正中離開と過蓋咬合がありました
|
治療途中 5か月後
|
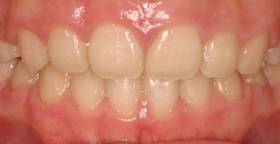
治療終了 治療開始後7か月
|
連続抜去法(10歳ごろ犬歯の萌出寸前に第一小臼歯を抜歯する方法です)
|

|

|
|
左上側切歯の被害はワイヤーを短期間使用しています
|
5年後 きれいな歯列になっています。 時期によれば小臼歯4本抜歯でここまできれいに並びます
|
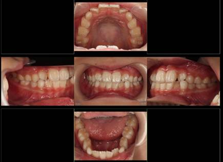
前歯のみの矯正治療 ワイヤー矯正
|

|

|
|
上の前歯が一部逆に生えていました
|
4か月後、前歯のかみ合わせのみの矯正ですので、短期間で終了しました
|
上顎前突+叢生 抜歯矯正(治療期間1年)
|

|

|

|

|
|
治療前、特に上の歯並びに問題がありました
|
奥歯のかみ合わせもよくありません
|
口元が突出しています
|
|
|

|

|

|

|
|
治療後、正中線も揃いました
小臼歯を抜歯しました
|
きちんと噛んでいます
|
大変きれいな横顔になりました。もともと明眸でしたので、矯正治療で明眸皓歯になりました。
|
笑顔もチャーミング
|
前歯部開口(前歯がかみ合わない)
|

|

|

|
|
舌を突き出す癖がありました
|
舌小帯(舌のひも)が長いようです
|
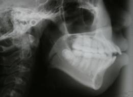
セファロレントゲン(矯正前)
|
|

|

|

|
|
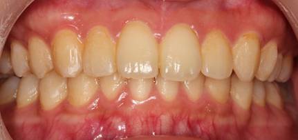
治療後
|
舌が口蓋につかないので舌小帯の処置をしました
|
口元が大きく変化しています
|
|

|

|

|
|
治療終了後3年。後戻りしないように保定中。保定期間はできるだけ長期間がよいといわれています。
|
親知らずが出てきました。
|
下顎の親知らずが出てきました。放置すると後戻りの原因になるので抜歯しました。
|
|

|

|

|
|
治療終了後6年経過時の正面写真
|
同じく下顎。安定しています。
|
上顎。保定装置を使用しています。
|
両顎前突(口元の突出)
|

|

|

|
|
矯正治療前
|
矯正治療前
|
口元が突出し唇を閉じると緊張しています。口元が緊張すると表情まで硬くなります。
|
|

|

|

|
|
治療後
|
治療後
|
口を楽に閉じることができるようになりました。すると表情まで軟らかくなりました。
|
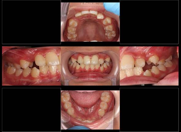
反対咬合(受け口)
|

|

|

|
|
反対咬合+叢生の状態でした
|
小臼歯はかみ合っていませんでした
|
|
|

|

|

|
|
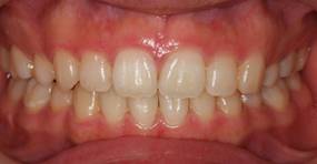
矯正治療後
|
きれいにかみ合っています
|
好感のもてるスマイルになりました
|
|

|

|

|
|
矯正終了後12年。少し後戻りしています
|
|
|
埋伏した下顎第二小臼歯を抜歯して矯正
|

|

|

|

|
|
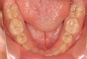
下顎第二小臼歯が噛んでいません 97年
|
左の第二小臼歯はほとんど埋伏していました
|
上下を同時に撮影できる咬翼法レントゲン(治療前)
|
左上第二大臼歯は根管治療がなされていました
|
|

|

|

|

|
|
矯正治療後
|
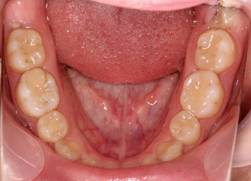
下顎第二小臼歯と左上顎第二大臼歯を抜歯。きれいに咬んでいます。前歯もへこんでいます。
|
治療後
|
左上智歯を移動させ第二大臼歯の替わりにしました
|
|

|

|
|
術前 97年のパノラマ
|
術後 99年 根の治療を受けていた左上第二大臼歯を抜歯し、代りに健全な親知らずを移動させました。
|
乳歯列の反対咬合がムーシールドで改善したケース
|

|

|

|
|
3歳
|
7歳 乳側切歯を抜歯しています
|
8歳 乳犬歯を抜きたいと希望されて来院。もう少し様子を見ることにしました
|
高知市青木歯科TOP 更新日2025/12/04
|